
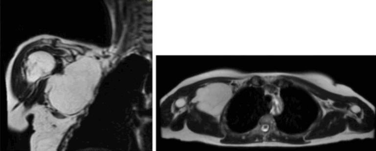
Arthroscopic Single-Layer Hyaluronate-Based Scaffold for Osteochondritis Dissecans of the Glenoid – Copy
Alessandro Donà M.D. | Rocco Bonfatti M.D. | Chiara Manzini M.D. | Elisa De Santis Ph.D. | Gian Mario Micheloni M.D. | Andrea Giorgini M.D.
Percorsi terapeutici personalizzati per il tuo benessere articolare
Sono un Medico Chirurgo specializzato in Ortopedia e Traumatologia, con un focus particolare sulla chirurgia della spalla e del gomito. Faccio parte dello Shoulder Elbow Team, un gruppo multidisciplinare guidato dal Professor Giuseppe Porcellini, riconosciuto a livello internazionale per l’eccellenza nel trattamento delle patologie dell’arto superiore.
Ogni visita ambulatoriale parte dall’ascolto del paziente e prosegue con un approfondito esame clinico funzionale, coadiuvato da un’analisi ecografica dinamica, che consente di valutare tendini, muscoli e articolazioni in tempo reale.
Questo approccio mi permette di formulare una diagnosi più accurata e impostare un percorso terapeutico mirato.
Se il disturbo da risolvere è sempre diverso, il mio obiettivo è sempre lo stesso: alleviare il dolore, restituire benessere.
Collaboro attivamente con lo Shoulder Elbow Team, un centro di riferimento internazionale per la chirurgia e la riabilitazione dell’arto superiore.
Partecipare a progetti scientifici e condividere le migliori pratiche cliniche con professionisti entusiasti e motivati, è uno stimolo costante al miglioramento continuo.
Condivido qui riflessioni cliniche, aggiornamenti medici e le mie pubblicazioni scientifiche: perché una buona cura nasce anche da una buona informazione.

Alessandro Donà M.D. | Rocco Bonfatti M.D. | Chiara Manzini M.D. | Elisa De Santis Ph.D. | Gian Mario Micheloni M.D. | Andrea Giorgini M.D.

Alessandro Donà | Luigi Tarallo | Gian Mario Micheloni | Andrea Giorgini | Giuseppe Porcellini Introduction Periprosthetic shoulder infections have a reported incidence of 0.4

Alessandro Donà | Michele Novi | Giuseppe Porcellini |Luigi Tarallo | Gian Mario Micheloni | Andrea Giorgini | Paolo Paladin | Fabio Catani Introduction The

Alessandro Donà | Luigi Tarallo | Michele Novi | Giuseppe Porcellini | Andrea Giorgini | Gianmario Micheloni | Fabio Catani Introduction Coronal shear fractures of

Alessandro Donà | Giuseppe Porcellini | Alberto Brigo | Michele Novi | Elisa De Santis | Silvia Di Giacomo | Andrea Giorgini | Gian Mario

Alessandro Donà | Giuseppe Porcellini | Valentina Passarino | Alberto Brigo | Andrea Giorgini | Gian Mario Micheloni | Rocco Bonfatti | Luigi Tarallo IntroductionLipomas
Fisio-Medical
Via Radici in Piano 23
Tel. 0536-803665
Osp. di Sassuolo
Via Ruini 2
Tel. 0536-846388